Hi all,
It's been 6 weeks since I have my EX, yes I know, I'm one of the lucky ones but France is really close to Spain and I'm half Spanish



To give some context for me, I used to be pro ICE, but in February 2023 I had a very bad crash in MX on a 450 CRF 2021 (mostly because the bike was too powerful for my skills and physical condition at that time).
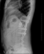
I broke my spine, had two surgeries (T12 arthrodesis), had to relearn how to walk again because I couldn't move my legs after the crash...
I still have a slight paralysis of the left foot (I can't lift up my foot) and above all neuropathic pains 24/24.
More than 1 year of convalescence, it wasn't easy, but it's behind me now...




I first rode on a bike again late 2024 on my old man's 300 xtrainer and quite quickly I realised I couldn't stand the vibrations that numbed my legs (neuropathic pain) to the point I couldn’t feel them and hold the bike.
The shifting was a bit complicated too, but I managed it...
Later I tried a 300 exc tpi, it was a bit better but still very disturbing, I was very close to buying a 300 tbi until Stark announced the EX the 10th of December.
After watching the video, talking to my friends and my old man, I decided to preorder 2 hours later despite them saying I should wait...
The wait was so long. I was so eager to ride it.
I received it on March 31st and have really been riding it for the last 3 weeks as I still had a knee injury when I received it.
Mostly on the road at first and took it on 3 enduro rides (2 to 3 hours each ride).
And... I freaking love this bike!
No vibrations = no increase of neuropathic pain
No gear selector = no shifting problems like I had due to paralysis
Bike is awesome to ride! Everything I hoped the bike would do for me it did and even better than I expected.
I love the rear handbrake as I also lost a bit of sensitivity in both my legs.
I love the power and regen adjustability, a map with a very high regen on a steep downhill is so nice in addition to the rear handbrake.
It's almost like a cheat code, everything is easier and even more so with my condition.
Even the autonomy, I was a little pessimistic and I'm surprised in a good way.
The only downside I have to say about the bike is the weight, but only when I had to pick it up after a fall, once you start moving you really don't feel it.
Don't get me wrong, I had a lot of bikes and still love ICE but for enduro I can’t stand an ICE bike anymore, or at least not a 2 strokes with very minimal vibrations.
Previously, my 3 last road bikes were, a KTM 990 Superduke R, a Ducati 1098 Streetfighter and a KTM 1290 Superduke R, only wheely super machines if you know these roadsters.
With the Stark, on the road, I could do almost everything I loved to do with those bikes except take some angles because of the off-road tires, but most importantly it was at legal speeds where it was always way too fast with those roadsters...
That's why I ordered supermoto wheels to have the best of both worlds.
I still have to fine-tune the suspension as it's too stiff for me (medium suspension and I weigh 79kg naked) and try out the advanced features.
It's been 6 weeks since I have my EX, yes I know, I'm one of the lucky ones but France is really close to Spain and I'm half Spanish



To give some context for me, I used to be pro ICE, but in February 2023 I had a very bad crash in MX on a 450 CRF 2021 (mostly because the bike was too powerful for my skills and physical condition at that time).
I broke my spine, had two surgeries (T12 arthrodesis), had to relearn how to walk again because I couldn't move my legs after the crash...
I still have a slight paralysis of the left foot (I can't lift up my foot) and above all neuropathic pains 24/24.
More than 1 year of convalescence, it wasn't easy, but it's behind me now...




I first rode on a bike again late 2024 on my old man's 300 xtrainer and quite quickly I realised I couldn't stand the vibrations that numbed my legs (neuropathic pain) to the point I couldn’t feel them and hold the bike.
The shifting was a bit complicated too, but I managed it...
Later I tried a 300 exc tpi, it was a bit better but still very disturbing, I was very close to buying a 300 tbi until Stark announced the EX the 10th of December.
After watching the video, talking to my friends and my old man, I decided to preorder 2 hours later despite them saying I should wait...
The wait was so long. I was so eager to ride it.
I received it on March 31st and have really been riding it for the last 3 weeks as I still had a knee injury when I received it.
Mostly on the road at first and took it on 3 enduro rides (2 to 3 hours each ride).
And... I freaking love this bike!
No vibrations = no increase of neuropathic pain
No gear selector = no shifting problems like I had due to paralysis
Bike is awesome to ride! Everything I hoped the bike would do for me it did and even better than I expected.
I love the rear handbrake as I also lost a bit of sensitivity in both my legs.
I love the power and regen adjustability, a map with a very high regen on a steep downhill is so nice in addition to the rear handbrake.
It's almost like a cheat code, everything is easier and even more so with my condition.
Even the autonomy, I was a little pessimistic and I'm surprised in a good way.
The only downside I have to say about the bike is the weight, but only when I had to pick it up after a fall, once you start moving you really don't feel it.
Don't get me wrong, I had a lot of bikes and still love ICE but for enduro I can’t stand an ICE bike anymore, or at least not a 2 strokes with very minimal vibrations.
Previously, my 3 last road bikes were, a KTM 990 Superduke R, a Ducati 1098 Streetfighter and a KTM 1290 Superduke R, only wheely super machines if you know these roadsters.
With the Stark, on the road, I could do almost everything I loved to do with those bikes except take some angles because of the off-road tires, but most importantly it was at legal speeds where it was always way too fast with those roadsters...
That's why I ordered supermoto wheels to have the best of both worlds.
I still have to fine-tune the suspension as it's too stiff for me (medium suspension and I weigh 79kg naked) and try out the advanced features.